See, Plan, Deliver | Create your vision

Discover the Envision Experience

Does composite bonding feel overwhelming?

Whether you’re striving for more consistent results, smoother workflows, or simply more confidence in your skills, you’re not alone. At Envision, we understand that mastering composite bonding can feel like navigating a maze of materials, shades, and techniques.

That’s why our courses are built to inspire and empower.

We break down the complexities into clear, hands-on steps designed to help you see the bigger picture, plan with precision, and deliver exceptional results for your patients. With a focus on practical, approachable learning, you’ll walk away with skills that are easy to implement and transformative in their impact.

What makes the Envision experience unique?

? It’s all about simplicity without compromise. We teach freehand techniques that eliminate the need for costly
kits or lab expenses, giving you the tools to create stunning results.

At Envision, we believe education should be as rewarding as the outcomes it delivers. Our goal is to boost your confidence, refine your skills, and help you unlock new potential in every smile you create.

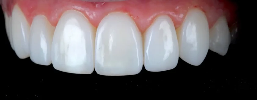
On this image you can see what can be achieved after Day 1 – Stunning edge bonding by our talented delegate on the UR1.

Key highlights:

Maximum Hands-on focused course
Master custom smile design
Seamless Edge bonding
Dual-shade Composite veneers
Constant feedback available during hands-on
Post-course support
Simplified Photography
Post-course handbook

Curious about how we can transform your practice?

Book in with Envision Dental Courses today and start your journey toward consistent, predictable, and beautiful results.